The debris can represent calcium crystals. Echogenic material in the gallbladder is debris formed in the bile of the gallbladder.
In one case echogenic.
Echogenic debris in bladder. The purpose of this study was to determine the significance of urinary bladder debris detected by sonography. We conducted a retrospective analysis of urinalysis results in age-matched patients with and without bladder debris detected by transabdominal sonography. Patients were recruited from a radiology database search for bladder sonograms either with words suggesting echogenic debris.
Echogenic debris simply refers to opaque material that appears dense with ultrasound scaning. The debris can represent calcium crystals. Correlating the Sonographic Finding of Echogenic Debris in the Bladder Lumen With Urinalysis.
Address correspondence to Sarah Cheng Department of Radiology and Biomedical Imaging University of California 1975 4th St C-1758L San Francisco CA. Radiologists commonly comment on the presence or absence of urinary tract debris seen on renal and bladder ultrasounds. The term debris refers to mobile echogenic particles seen in urine within the upper tracts or bladder.
The presence of bladder debris was associated with the presence of urobilinogen nitrite and white blood cells p 00001 00005 and 00004 respectively. Bladder debris in the emergency department setting correlates with urinalysis laboratory values suggesting a urinary tract infection. Therefore the presence of bladder debris should elicit the recommendation of a urinalysis in.
Of greater concern is the scenario in which echogenic debris reflects a true pathologic process. Patients with bladder mucus gross hematuria inflammation of the genitourinary system or sloughing of urothelium can demonstrate debris and linear stranding on ultrasound. Echogenic debris simply refers to opaque material that appears dense with ultrasound scaning.
The debris can represent calcium crystals. Debris within the bladder is commonly seen on ultrasound and its presence or absence is often reported by radiologists. The etiology of bladder debris is varied and includes urinary tract infection UTI.
The likelihood that urinary debris represents a UTI. Debris in the bladder is most often due to poor bladder emptying. Crystals can form and gradually aggregate into stone material from sand to many stones.
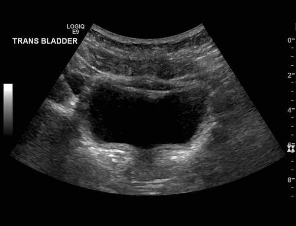
Cellular debris is shed from the surface of the bladder like it is from the skin. In very severe cases an inflamed gallbladder can cause erosion in the wall of the gallbladder leading to a perforation that leaks the contents of the gallbladder. Bladder debris was defined as echogenic floating debris that clearly could not be attributed to artifact.
Echogenic-dependent mobile material that exhibited shadowing indicative of bladder calculi were excluded from the analysis. Radiologists commonly comment on the presence or absence of urinary tract debris seen on renal and bladder ultrasounds. The term debris refers to mobile echogenic particles seen in urine within the upper tracts or bladder.
The term debris refers to mobile echogenic particles seen in urine within the upper tracts or bladder. What does Debris mean in urine. Acute cystitis sometimes referred to as a urinary tract infection UTI is a sudden inflammation of your bladder.
We conducted a retrospective analysis of urinalysis results in age-matched patients with and without bladder debris detected by transabdominal sonography. Patients were recruited from a radiology database search for bladder sonograms either with words suggesting echogenic debris or by a clinical history suggesting an infectious course. The sensitivity and specificity for bladder debris in detecting positive urine cultures was 52 and 86 respectively.
Forty-seven percent of those with bladder debris had positive cultures compared with 12 of those without debris p 001. The relative risk of positive urine culture if debris is present is 390 95 CI 273555. The most common findings were thick or irregularly shaped bladder walls 96 pseudomasses within the bladder lumen 89 and fine debris or linear strands 47.
Ultrasound images of retained placental tissue have been described as a discrete solid mass and calcifications with acoustic shadows inside the mass Lee et al. 11 an echogenic mass Hertzberg and Bowie 10 and highly variable but most often an echogenic mass Carlan et al. These descriptions are in good agreement with.
3336 Particulate Echoes within the Bladder. Does this Finding Correlate with Urinary Tract Infection. Wilches C Gallo A Moreno Á Rivero ó Romero J.
This image shows a bladder with thin walls no intraluminal lesions and slightly particulate urine content. Second image shows bladder ultrasound with echogenic debris and a stone appearing as hyperechoic curved structure with a shadow. The echogenic material could be a blood clot also.
Usually but not always debris moves with moving the patient while clot remains adherent to the bladder wall. Blood clots in the urinary bladder usually form echogenic masses without acoustic shadow and without visible blood flow in Doppler examination fig. They usually move when the patient changes position.
Large blood clots are oval and may occupy the entire lumen of the bladder. The diagnosis of a blood clot may be indicated by hematuria. Echogenic material in the gallbladder is debris formed in the bile of the gallbladder.
Also known as gallbladder sludge it shifts about from time to time within the gallbladder. The material can produce low level echoes which makes it an echogenic material. These echoes do not cast an acoustic shadow.
Methods-We conducted a retrospective analysis of urinalysis results in age-matched patients with and without bladder debris detected by transabdominal sonography. Patients were recruited from a radiology database search for bladder sonograms either with words suggesting echogenic debris or by a clinical history suggesting an infectious course. A US scan shows an echogenic mass that fills the dilated renal pelvis arrows and obstructive dilatation of the pelvis and calices.
B US scan shows diffusely increased echogenicity of the renal parenchyma with heterogeneous loss of corticomedullary differentiation in. Echogenic debris was also observed lining calyces and filling the renal pelvis Figure 3. Bladder debris alone was seen in one pre-term and three term babies Figure 4.
In one case echogenic.